
Los traumas dentales son urgencias frecuentes en la consulta odontopediátrica. El reto está en tratar inmediatamente al niño e informar a los padres sobre las consecuencias futuras.
Se entiende como trauma dental a los golpes violentos que reciben los dientes y la encía, principalmente durante la caída del niño en el juego.
El trauma dental en el niño debe enfrentarse siempre como una situación especial. Y, si el niño está en la época de la primera infancia o es un bebé, ésta condición hace aún más importante la intervención del odontopediatra, debido a las limitaciones propias de la edad, al manejo clínico y a la mayor posibilidad de lesiones en la dentición permanente.
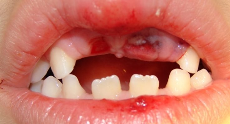
Las lesiones pueden ser resultado de traumatismos directos, por golpe del diente contra una superficie más o menos dura, o indirectos, debido al cierre violento de los maxilares en una caída. El resultado de los traumatismos directos suele ser la lesión de dientes anteriores, y los traumas indirectos favorecen la fractura de la corona y la raíz en premolares y molares.
La experiencia demuestra que, cuando el traumatismo ocurre en niños pequeños, los dientes temporales o de leche se desplazan dentro de un hueso poco calcificado y blando, por lo que son muy pocas las piezas dentarias temporales que sufren fracturas a causa del trauma. Sin embargo, cuando el traumatismo ocurre en los dientes permanentes, al estar alojado en un hueso más calcificado y duro, los dientes absorben el impacto y se fracturan con mayor frecuencia que los temporales pudiendo ser avulsionados, es decir salirse totalmente de la boca.
¿Cómo prevenir los traumas dentales en los niños?
Sabemos que la mejor actividad de un niño es el juego y ésta es parte esencial de su desarrollo.
*Se sugiere que el niño sea supervisado en el momento del juego. Además dejar espacios apropiados para que dicha actividad se desarrolle con el menos riesgo posible.
*Estar atento al uso del cinturón de seguridad y la silla del bebé para el vehículo, dependiendo de la edad del niño
*Incrementar el uso de cascos en los ciclistas y de protectores bucales en los niños y adolescentes que practican deportes de alto impacto.
¿Qué hacer en caso de un trauma dentario?
Lo primero es llamar al odontopediatra para que oriente a los padres o tutores sobre los primeros auxilios de acuerdo a la situación presente; ya que todo va a depender del tiempo que ha pasado desde que ocurrió el trauma, de la zona afectada y de la intensidad del mismo.
Dra. Lilian Taveras de Lama
Odontopediatra
Abraham Lincoln #901. Piantini
(809) 547-3387, (809) 943-9216








